
滞在時間を短くするために調整が必要ですので、お電話でのお問い合わせください
脳検診を考えられいるお客様へ
脳ドック(脳の予防検診)とは
脳ドックは、MRI(磁気共鳴画像)やMRA(磁気共鳴血管撮影)などの画像検査を用いて、脳や脳血管の状態を総合的に評価する予防医療です。
脳は一度損傷すると再生が極めて難しいため、症状が出る前の段階で異常やリスクを把握し、生活習慣の改善や早期対応につなげることを目的としています。
小田原市では全国平均に比べて脳ドックの受診率が低く、脳卒中による救急搬送が多い現状があります。
参照URL:第2期 小田原市健康増進計画(https://www.city.odawara.kanagawa.jp/global-image/units/574596/1-20230329161402_b6423e53a2ef02.pdf
健康な今だからこそ、脳ドックで脳の状態を確認することが大切です。
未来の生活を守るために
年齢や生活習慣によって、脳や血管に少しずつ変化が現れます。
・高血圧
・糖尿病
・脂質異常症(コレステロールや中性脂肪が高い)
こうした状態が続くと、脳梗塞や脳出血のリスクが高まることがあります。
脳ドックでは、現在の脳の健康状態を数値と画像で把握できるため、
**「今からできる予防」**のヒントが得られます。
検査で分かること
・脳や脳血管の形態異常や動脈硬化の有無
・過去の頭部外傷の影響
・脳の萎縮の程度
・無症状の脳血管障害や脳腫瘍の有無

これらの症状が出る前に知ることで将来の健康計画を立てやすくなります。
当院のMRI装置
- MRIで高精細な画像撮影
- 当日中の結果説明
- 必要に応じて速やかに連携医療機関をご紹介

当院では、**開口部が広い「オープンMRI」**を導入しています。
「オープンMRI」とは、装置の側面や前後が大きく開いており、従来のドーナツ型MRIに比べて閉塞感が少ない構造のことです。
視界が広く、検査中も周囲の空間を感じやすいため、閉所が苦手な方やお子さま、高齢の方にも安心して受けていただけます。
一般的なMRIでは、円筒形のトンネルの中に全身または上半身を入れて検査しますが、オープンMRIは解放感があり、心理的負担が軽されます。
当院のオープンMRIは、脳や脊髄の撮影だけでなく、脳動脈や頸動脈も造影剤を使わずに3D画像として撮影可能です。
身体への負担が少なく、安全に詳しい画像情報を得られるのが特徴です。
MRI検査が受けれない場合があります
MRI検査は強い磁力を使って体の内部を撮影する、安全性の高い検査です。
しかし、体内に特定の機器や金属が入っている場合や、検査中に安静を保つことが難しい場合は、安全のため実施できないことがあります。
不安な点があれば、事前に必ずスタッフへご相談ください。
当院の脳ドックでは、MRI・MRA検査を行います。
検査時間はおよそ10〜15分で、その間はじっと横になっていただく必要があります。
もしこの間に安静を保つことが難しい場合は、安全上の理由から検査を中止または延期することがあります。
詳しい条件や対応は、受診時にスタッフがご説明しますので、安心してお尋ねください。
・心臓ペースメーカーや埋め込み型除細動器(ICD)を使っている方
・ V-PシャントやL-Pシャントなど、可変式バルブ付きの脳脊髄液シャントが入っている方
・人工内耳や神経刺激装置などの体内電子機器を装着している方
・ 脳動脈瘤クリップ、人工(機械)心臓弁、内視鏡止血クリップなどの金属製医療器具を使用
している方 ※MRI対応の器具もありますので、必ず事前に確認してください
・事故やケガなどで、体内に材質不明の金属が入っている方
・妊娠中、または妊娠の可能性がある方
・閉所恐怖症の方
・未就学児(小さなお子さま)
・重度の認知症がある方
MRI検査の流れ

※ ペースメーカーなど金属を体内に入れている方は事前にご相談ください
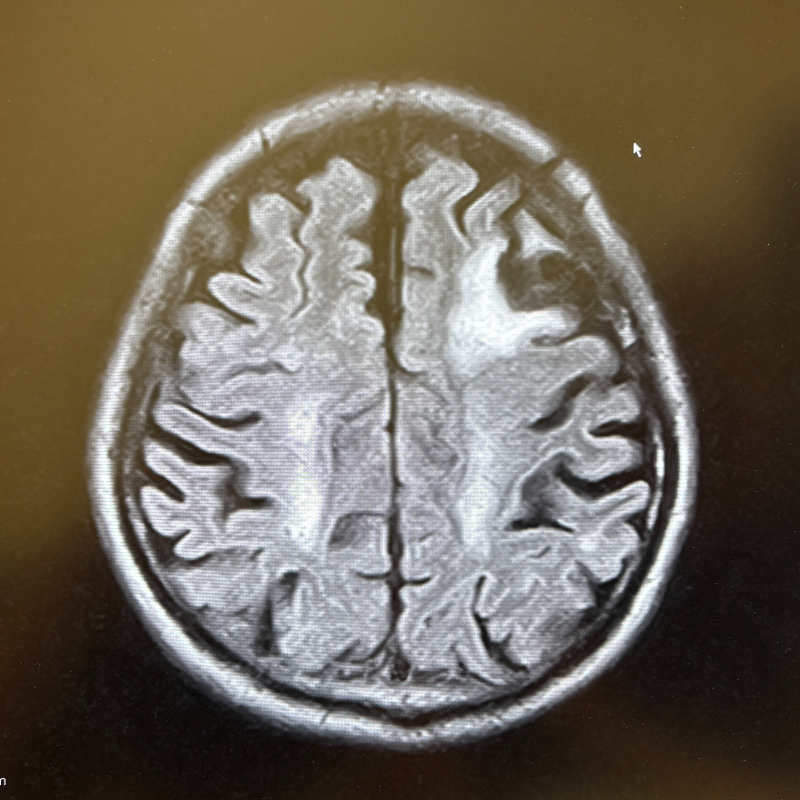
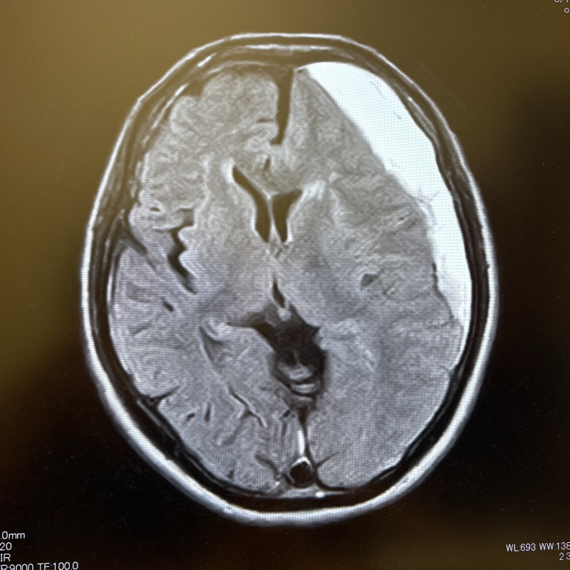
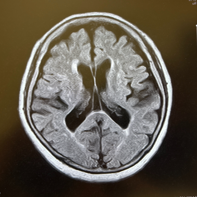
MRI画像例
下の画像は、当院で行うMRI・MRA検査で撮影できる脳の写真の一例です。
MRIでは脳の形や組織の状態を、MRAでは脳の血管の様子を詳しく確認できます。
当院では、CTやMRIで撮影した2D画像(平面画像)を3D画像(立体画像)に変換して表示できます。
立体的に確認することで、血管の通り道や狭くなっている部分、脳動脈瘤などの形をより詳しく観察することができます。
2D画像


3D画像






脳ドックの目的は、こうした変化を症状が出る前に発見し、生活改善や予防につなげることです。
画像は検査当日にお渡ししますので、ご自宅でもゆっくりご覧いただけます。
MRI検査の費用
- • 頭部MRI、脳血管MRA、頸動脈MRA
• 胸部レントゲン
• 身長、体重、BMI、視力
• 血圧
• 心電図
• 動脈硬化度測定
• 血液検査
貧血、糖尿病、脂質、肝機能、腎機能
• 尿検査
- • 頭部MRI、脳血管MRA、頸動脈MRA

風邪症状・お熱のある方は15:00〜17:00に
お電話でご連絡のご予約をお願いします。
初診の方もお受けいたします。

